
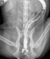
Blocked Cats Part 1
A ‘blocked’ cat describes a patient that can’t pass urine due to an obstruction. It is one of the true emergencies affecting cats and it can quickly become life-threatening (1-2 days). Any cat can be affected but it is much more common in males. It is therefore essential that everyone who lives with a […]

Diarrhoea In Dogs and Cats
Diarrhoea refers to an increase in the water content of faeces which results in ‘loose motions’. The severity of diarrhoea, and the consequent need for veterinary attention, can be enormously variable. ‘Acute’ Versus ‘Chronic’ Just as in human beings the majority of bouts of diarrhoea in dogs and cats are acute (short in duration […]

How Does Acupuncture in Dogs and Cats Work?
There are two approaches to the teaching and theory of acupuncture (AP): Traditional Chinese medicine (TCM) The Western scientific approach The Western Scientific definition of acupuncture is… “A therapeutic modality involving insertion of needles using knowledge of anatomy, physiology, pathology & evidence-based medicine”. TCM sees the body as having two opposing forces, Yin and Yang, […]

Elbow Dysplasia – What is normal?
Elbow Dysplasia is a very common cause of lameness in growing dogs and it can lead to serious arthritis. Where is the dog’s elbow and how does it compare to our own? There are some important differences and in the article orthopaedic expert Rob Rayward sets the scene. Where is the elbow joint in dogs […]

Episodic Weakness and Collapse
What is Episodic weakness and collapse? Essentially, ‘episodic weakness and collapse’ refers to involuntary falling over! Dogs are more commonly presented to veterinary surgeons with this problem than cats. Syncope (pronounced sin-coh-pea) is the technical term for fainting when the patient temporarily loses consciousness. Collapse, such as fainting, may be completely benign and require no […]