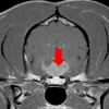
What is Cushing’s disease and how is steroid produced by the body? Hyperadrenocorticism or ‘Cushing’s disease’ is caused by excessive production or administration of steroid. It can be classified as pituitary dependent, adrenal dependent, or iatrogenic. A brief overview of how steroid is produced in the body will help with the understanding of this disease. […]
